Direkt zum Inhalt springen
login.png Login    |
de | en
MyTUM-Portal
Technische Universität München

Technische Universität München

Feedback



Ist diese Seite veraltet oder sind die Informationen falsch?

Bild

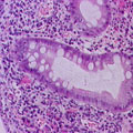
Entzündete Darmepithelzellen verlieren ihre Immunfunktion.

Gestresster Darm – im Gegensatz zur gesunden Darmschleimhaut verlieren entzündete Darmepithelzellen (im Bild zu sehen) ihre wichtige Immunfunktion. (Bild: TUM/D. Haller)
Größe: 44.0 kB; available sizes 64x64  120x120  240x240 
©

Corporate Communications Center

Public Relations Team
Arcisstr. 19
80333 München

Tel.: +49.89.289.22778
Fax: +49.89.289.23388

 presse@tum.de

Ansprechpartner

Termine heute

no events today.

Veranstaltungskalender