Direkt zum Inhalt springen
login.png Login    |
de | en
MyTUM-Portal
Technische Universität München

Technische Universität München

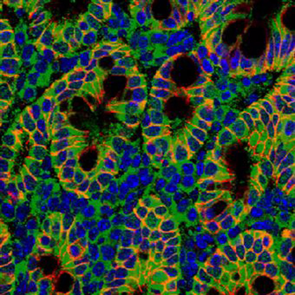
Sitemap > Presse & Kommunikation > Pressemitteilungen > Wie probiotische Bakterien vor Entzündungen im Darm schützen > A glimpse through the laser microscope – green indicates the presence of inflammatory messenger substances (chemokines) in the bowel tissue. Picture: TUM
Bild

A glimpse through the laser microscope – green indicates the presence of inflammatory messenger substances (chemokines) in the bowel tissue. Picture: TUM

Größe: 280.5 kB; available sizes 64x64  120x120  240x240  600x600 
©

Corporate Communications Center

Public Relations Team
Arcisstr. 19
80333 München

Tel.: +49.89.289.22778
Fax: +49.89.289.23388

 presse@tum.de

Ansprechpartner

Termine heute

no events today.

Veranstaltungskalender